Dentures
Custom dentures for a comfortable and confident smile.
Understanding Dentures
Dentures provide a reliable and natural-looking solution for replacing missing teeth. Whether you need a full set of dentures or a partial replacement, our team ensures that your dentures fit comfortably, function properly, and enhance your smile. With advancements in dental technology, modern dentures offer improved durability, aesthetics, and ease of use.
Our practice offers a variety of denture options tailored to individual needs, including implant-supported dentures, complete dentures, immediate dentures, and more. Each type is designed to provide stability and restore normal chewing and speaking ability while maintaining a natural appearance.
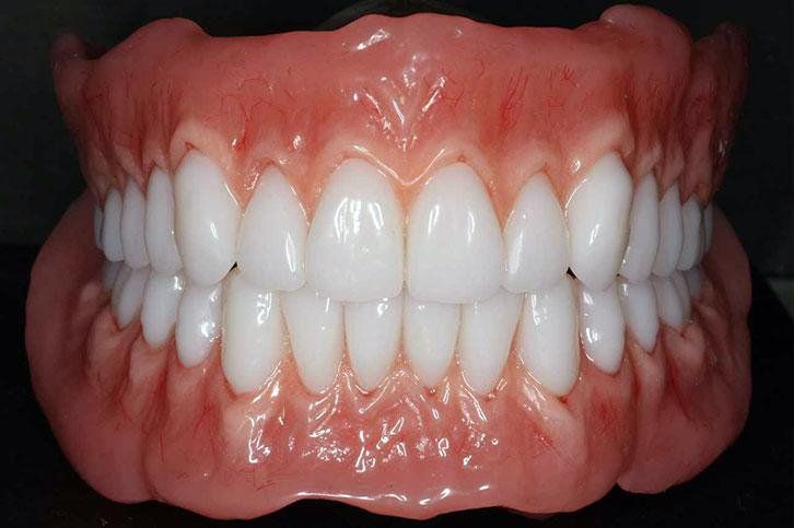
Types of Dentures We Offer
Complete Dentures
Complete dentures are used when all teeth in the upper, lower, or both arches need to be replaced. These removable prosthetics are carefully designed to fit securely over the gums, restoring function and aesthetics. Modern complete dentures are more comfortable and lifelike than ever, providing patients with a renewed sense of confidence.
Immediate Dentures
For patients undergoing full tooth extractions, immediate dentures provide a temporary solution that allows them to maintain function while healing. These dentures are pre-made based on a mold taken before the extraction, ensuring that patients leave the dental office with a full set of teeth. After healing, adjustments may be necessary to ensure a perfect fit.
Partial Dentures
Partial dentures are an excellent option for patients who still have some natural teeth remaining. These dentures help fill gaps left by missing teeth while preventing shifting and misalignment of the remaining teeth. Depending on your needs, partial dentures can be made from acrylic, metal, or flexible materials for comfort and durability.
Flippers
A flipper is a temporary partial denture that replaces one or more missing teeth. These lightweight, removable appliances are designed for short-term use while waiting for a more permanent restoration. Flippers offer a quick and affordable solution to improve a patient’s appearance and functionality.
Choosing the Right Denture Option
Selecting the right denture depends on your oral health, lifestyle, and long-term goals. During your consultation, our dental team will evaluate your needs and discuss the best solution for restoring your smile. Whether you need traditional, implant-supported, or temporary dentures, we are committed to delivering high-quality, comfortable, and natural-looking results.












